Nucleus accumbens: Et lærings- og nytelsessenter

Nucleus accumbens er området av den sofistikerte hjernen som er like interessant som det er eksepsjonelt.
De fleste vet ikke mye om selve eksistensen av visse regioner i hjernen før de kommer ut for en ulykke. Det er imidlertid svært viktig å lære litt mer om hvordan hjernen fungerer under normale forhold. Å forstå funksjonen til hver region i hjernen vil tillate deg å forstå din egen atferd, motivasjon og impulser.
Hver hjernehalvdel har en nucleus accumbens. De former ditt komplekse belønningssystem. Takket være dette området i hjernen føler du deg fornøyd, tilegner deg nye kunnskaper, og finner motivasjonen du trenger for ditt daglige liv.
Nucleus accumbens er den fascinerende hjernestrukturen som er grunnlaget for din glede og belønningssystem. Uten den vil du miste styrken, frigjøringen og den ustoppelige energien som gjør deg menneskelig. Alle mennesker forsøker å møte sine personlige mål, emosjonelle mål, seksuelle behov, ønske om kunnskap eller andre motivatorer.

Hva er nucleus accumbens?
Nucleus accumbens er en hjerneregion som få mennesker vet om. Selv innen nevrovitenskapen er det fortsatt mange spørsmål. Vi vet at den primære funksjonen er å aktivere motivasjonssystemet. Utover bare å aktivere dette systemet driver det oppførsel. Den driver for eksempel viljen, et rush av optimisme, en tørst etter seier, og du viser en respons i adferd.
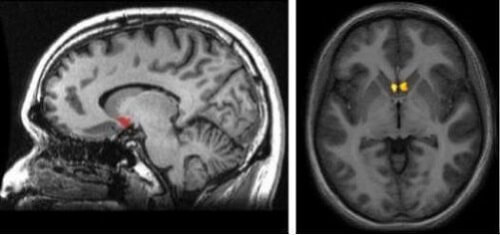
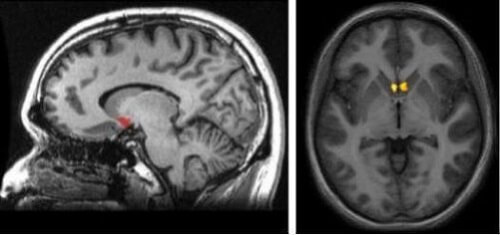
Nå kan du spørre deg selv hvor denne hjernestrukturen ligger. For å forenkle det, tenk deg det subkortiske (under cortex) området rett ved forbindelsespunktet mellom nucleus caudatus, putamen og septum. En av de viktigste aspektene ved nucleus accumbens er beliggenheten, ettersom det er en del av dopaminets vei i hjernen. Dette er den såkalte mesolimbic-banen. Det har ansvaret for å stimulere deg når hjernen din mener du er under behagelige og gledelige opplevelser.
Som vi tidligere har antydet har denne strukturen noen hemmeligheter som forundrer nevrologer. Til og med nylig trodde eksperter at nucleus accumbens bare var knyttet til gledelige opplevelser. Men i dag vet vi at det også er forbundet med ubehagelige situasjoner. Når du møter noe du ikke liker, aktiverer nucleus accumbens “motivasjon” for å unnslippe fra den situasjonen.
Dermed spiller den også en sentral rolle i din overlevelsesevne, da den leder deg mot det du nyter og holder deg borte fra det som kan skade deg.

Neurobiologi av nucleus accumbens
Hver av frekvensene i hjernehalvdelene har sin egen kjernevirksomhet. På den måten løser belønningssystemet som styres gjennom dopamin hver del av hjernen. Denne strukturen er også en del av basalgangliene. Som sådan er en av de viktigste egenskapene til nucleus accumbens i hvilken grad den er koblet til andre deler av hjernen.
Faktisk er den mest betydningsfulle forbindelsen den som har å gjøre med det limbiske systemet. Husk at dette systemet består av mange forskjellige strukturer: talamus, hypothalamus og amygdala. Sistnevnte er ansvarlig for reguleringen av din emosjonelle verden.
La oss nå snakke om hvordan nucleus accumbens faktisk etablerer disse signifikante koblingene ved hjelp av sin sofistikerte anatomiske struktur.
1. Skjell
Dette er uten tvil den mest interessante delen av nucleus accumbens. Gjennom skjellet etablerer det forbindelser med det limbiske systemet samt den frontale loben. Denne delen fungerer faktisk som en bro. Den mottar og sender informasjon. Samtidig oppnås og reguleres mengder dopamin, serotonin, glutamat, etc.

2. Kjerne
Dette er hjertet av nucleus accumbens. Hva denne regionen i hjernen gjør er å styre motorfunksjonen gjennom sin forbindelse med basalganglia, substantia nigra og motorcortex.
Det interessante med dette området er at det aktiverer de fleste signifikante emosjonelle handlinger og bevegelser. Det vil si at nucleus accumbens står bak hver gang du føler deg motivert til å stå opp fra sofaen for å gjøre noe.
Hva er funksjonene til nucleus accumbens?
Vi vet allerede at nucleus accumbens kontrollerer motivasjon, glede og triumf og setter ting i bevegelse. Den har imidlertid også mange andre funksjoner:
- Den hjelper oss med planlegging. På grunn av sin forbindelse med hjernebarken, tillater det oss å skape mål og veikart.
- Denne strukturen hjelper oss med å vurdere situasjoner. Nucleus accumbens er også knyttet til ditt emosjonelle minne. Som sådan hjelper det deg med å analysere bestemte situasjoner for å gjøre visse endringer, angi innsatsen mot et mål, eller avgjøre om det er best å utsette visse utfordringer eller mål.
- Den hjelper deg til å lære og integrere ny informasjon. Motivasjon og læring går hånd og hånd. Faktisk vil det enkle forståelsesbegrepet, integrering av kunnskap i hjernen din og memorering av ting ikke ha noe fornuft uten den emosjonelle komponenten som denne strukturen er involvert i.
- Sex og ernæring. Denne strukturen er ikke den eneste som er relatert til glede. Den spiller imidlertid en nøkkelrolle (som vi allerede vet) i motivasjon og det neurokjemiske belønningssystemet. Dette skyldes det faktum at det ligger i dopaminets vei. Husk at dopamin er en nevrotransmitter involvert i glede, lykke og avhengighet.
Hjernen slutter ikke å forbause oss. Dette organet er et perfekt stykke maskineri hvor hvert lite område har en betydelig funksjon. Ikke desto mindre fungerer ingen del av hjernen alene. Alle hjernens deler er sammenhengende og avhengige av hverandre for å samarbeide i fascinerende harmoni. Nucleus accumbens er en fantastisk del av denne fascinerende maskinen.
“Med bare tre ord kan jeg oppsummere alt jeg har lært om livet: Det går videre.”
-R. Frost-
Nucleus accumbens er området av den sofistikerte hjernen som er like interessant som det er eksepsjonelt.
De fleste vet ikke mye om selve eksistensen av visse regioner i hjernen før de kommer ut for en ulykke. Det er imidlertid svært viktig å lære litt mer om hvordan hjernen fungerer under normale forhold. Å forstå funksjonen til hver region i hjernen vil tillate deg å forstå din egen atferd, motivasjon og impulser.
Hver hjernehalvdel har en nucleus accumbens. De former ditt komplekse belønningssystem. Takket være dette området i hjernen føler du deg fornøyd, tilegner deg nye kunnskaper, og finner motivasjonen du trenger for ditt daglige liv.
Nucleus accumbens er den fascinerende hjernestrukturen som er grunnlaget for din glede og belønningssystem. Uten den vil du miste styrken, frigjøringen og den ustoppelige energien som gjør deg menneskelig. Alle mennesker forsøker å møte sine personlige mål, emosjonelle mål, seksuelle behov, ønske om kunnskap eller andre motivatorer.

Hva er nucleus accumbens?
Nucleus accumbens er en hjerneregion som få mennesker vet om. Selv innen nevrovitenskapen er det fortsatt mange spørsmål. Vi vet at den primære funksjonen er å aktivere motivasjonssystemet. Utover bare å aktivere dette systemet driver det oppførsel. Den driver for eksempel viljen, et rush av optimisme, en tørst etter seier, og du viser en respons i adferd.
Nå kan du spørre deg selv hvor denne hjernestrukturen ligger. For å forenkle det, tenk deg det subkortiske (under cortex) området rett ved forbindelsespunktet mellom nucleus caudatus, putamen og septum. En av de viktigste aspektene ved nucleus accumbens er beliggenheten, ettersom det er en del av dopaminets vei i hjernen. Dette er den såkalte mesolimbic-banen. Det har ansvaret for å stimulere deg når hjernen din mener du er under behagelige og gledelige opplevelser.
Som vi tidligere har antydet har denne strukturen noen hemmeligheter som forundrer nevrologer. Til og med nylig trodde eksperter at nucleus accumbens bare var knyttet til gledelige opplevelser. Men i dag vet vi at det også er forbundet med ubehagelige situasjoner. Når du møter noe du ikke liker, aktiverer nucleus accumbens “motivasjon” for å unnslippe fra den situasjonen.
Dermed spiller den også en sentral rolle i din overlevelsesevne, da den leder deg mot det du nyter og holder deg borte fra det som kan skade deg.

Neurobiologi av nucleus accumbens
Hver av frekvensene i hjernehalvdelene har sin egen kjernevirksomhet. På den måten løser belønningssystemet som styres gjennom dopamin hver del av hjernen. Denne strukturen er også en del av basalgangliene. Som sådan er en av de viktigste egenskapene til nucleus accumbens i hvilken grad den er koblet til andre deler av hjernen.
Faktisk er den mest betydningsfulle forbindelsen den som har å gjøre med det limbiske systemet. Husk at dette systemet består av mange forskjellige strukturer: talamus, hypothalamus og amygdala. Sistnevnte er ansvarlig for reguleringen av din emosjonelle verden.
La oss nå snakke om hvordan nucleus accumbens faktisk etablerer disse signifikante koblingene ved hjelp av sin sofistikerte anatomiske struktur.
1. Skjell
Dette er uten tvil den mest interessante delen av nucleus accumbens. Gjennom skjellet etablerer det forbindelser med det limbiske systemet samt den frontale loben. Denne delen fungerer faktisk som en bro. Den mottar og sender informasjon. Samtidig oppnås og reguleres mengder dopamin, serotonin, glutamat, etc.

2. Kjerne
Dette er hjertet av nucleus accumbens. Hva denne regionen i hjernen gjør er å styre motorfunksjonen gjennom sin forbindelse med basalganglia, substantia nigra og motorcortex.
Det interessante med dette området er at det aktiverer de fleste signifikante emosjonelle handlinger og bevegelser. Det vil si at nucleus accumbens står bak hver gang du føler deg motivert til å stå opp fra sofaen for å gjøre noe.
Hva er funksjonene til nucleus accumbens?
Vi vet allerede at nucleus accumbens kontrollerer motivasjon, glede og triumf og setter ting i bevegelse. Den har imidlertid også mange andre funksjoner:
- Den hjelper oss med planlegging. På grunn av sin forbindelse med hjernebarken, tillater det oss å skape mål og veikart.
- Denne strukturen hjelper oss med å vurdere situasjoner. Nucleus accumbens er også knyttet til ditt emosjonelle minne. Som sådan hjelper det deg med å analysere bestemte situasjoner for å gjøre visse endringer, angi innsatsen mot et mål, eller avgjøre om det er best å utsette visse utfordringer eller mål.
- Den hjelper deg til å lære og integrere ny informasjon. Motivasjon og læring går hånd og hånd. Faktisk vil det enkle forståelsesbegrepet, integrering av kunnskap i hjernen din og memorering av ting ikke ha noe fornuft uten den emosjonelle komponenten som denne strukturen er involvert i.
- Sex og ernæring. Denne strukturen er ikke den eneste som er relatert til glede. Den spiller imidlertid en nøkkelrolle (som vi allerede vet) i motivasjon og det neurokjemiske belønningssystemet. Dette skyldes det faktum at det ligger i dopaminets vei. Husk at dopamin er en nevrotransmitter involvert i glede, lykke og avhengighet.
Hjernen slutter ikke å forbause oss. Dette organet er et perfekt stykke maskineri hvor hvert lite område har en betydelig funksjon. Ikke desto mindre fungerer ingen del av hjernen alene. Alle hjernens deler er sammenhengende og avhengige av hverandre for å samarbeide i fascinerende harmoni. Nucleus accumbens er en fantastisk del av denne fascinerende maskinen.
“Med bare tre ord kan jeg oppsummere alt jeg har lært om livet: Det går videre.”
-R. Frost-
Denne teksten tilbys kun til informasjonsformål og erstatter ikke konsultasjon med en profesjonell. Ved tvil, konsulter din spesialist.







