Hjernens mikrobiom: tarmbakterier i hjernen

Under det siste årlige møtet for Society of Neuroscience ved University of Alabama i Birmingham, presenterte forskere en rapport som viste hvordan noen tarmbakterier lever i ulike regioner av hjernen, som kan se ut til å være hjernens mikrobiom.
Denne oppdagelsen er både fascinerende og skremmende. Det er fremdeles ingen forklaring på hvordan disse tarmbakteriene nådde hjernen, eller om de er fordelaktige eller skadelige. Eksperter tror til og med at disse bakteriene kan påvirke humør og eventuelt personlighet.
Hva er tarmens mikrobiom?
Tarmens mikrobiom er et sett med mikroorganismer som lever i tarmen din. Det er omtrent hundre billioner arter av bakterier. I sin tur består disse igjen av mer enn tre millioner gener. Av alle disse, deler mennesker kun en tredjedel. Resten er unikt for hver person. Dermed er tarmens mikrobiom en viktig del av hver persons identitet.
Noen av de viktigste funksjonene er reguleringen av immunsystemet, absorpsjon av næringsstoffer og kontroll av eksterne patogener. Enhver endring i tarmens mikrobiom kan forårsake autoimmune sykdommer, allergier eller infeksjoner. Faktisk har forskere også koblet det til Alzheimers og Parkinsons.
På den andre side kan ubalanser i tarmfloraen generere endotoksiner, høye nivåer av oksidasjon og akkumulering av magefett. I tillegg forårsaker kronisk betennelse hjerte- og karsykdommer og diabetes.
Selv om det er en utbredt frykt for mikroorganismer og bakterier, er sannheten at vi ikke kan leve uten dem. Til tross for at du ikke er klar over det, har du milliarder av levende vesener som sameksisterer inne i kroppen din.

Hjernens mikrobiom
Forskere har begynt å spørre seg selv om hvordan disse bakteriene kommer til hjernen, siden den er beskyttet av blod-hjernebarrieren.
Blod-hjernebarrieren er et system som beskytter hjernen mot innføringen av fremmede stoffer. Barrieren tillater innføring av vann, oppløselige molekyler i lipider, og noen gasser. Den tillater også selektiv innføring av aminosyrer og andre molekyler. Men bakteriene som finnes i hjernen er, for det meste, fra tarmen.
Det er gliaceller som støtter nevroner og astrocytter og forhindrer innføringen av nevrotoksiner og andre stoffer i hjernen. Disse skadelige stoffene produserer ofte betennelser med veldig negative og til og med dødelige konsekvenser når de klarer å trenge gjennom barrieren på en eller annen måte. Men det som er interessant er at astrocytter faktisk ser ut til å være favorittstedet til disse tarmbakteriene i hjernen.
Forskere har uttalt at bakteriene kan gå gjennom tarmnervene, blod-hjernebarrieren eller nesen. Den virkelige årsaken er imidlertid fremdeles ukjent. Det er fortsatt mye å forske på når det kommer til hjernens mikrobiom.

Forskningen frem til nå
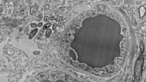
Dr. Rosalinda Roberts og hennes team fra avdelingen for psykiatri og atferdsnevrobiologi ved universitetet i Alabama i Birmingham er ansvarlige for dette funnet. De studerte hjernen til 34 personer. Halvparten av deltagerne i studiet var friske personer, og den ande halvparten hadde schizofreni. Videre gjennomførte de en parallell studie på labratoriemus, slik at de kunne utelukke at bakteriene kun dukket opp post mortem, eller om det kunne oppstå feil på grunn av kontaminering.
I begge studiene observerte forskerne tilstedeværelsen av bakterier i både hjernene til mennesker og mus, i ikke-smittsomme eller traumatiske situasjoner. Faktisk fant de disse bakteriene i flere områder av hjernen. Hovedsakelig ble de funnet i substantia nigra, hippocampus og prefrontal cortex, og veldig små mengder i stratium. I tillegg viste ingen av de undersøkte hjernene noen tegn på betennelse.
Disse resultatene har åpnet døren for videre spekulasjoner og ny forskning på hjernens mikrobiom. Foreløpig vurderes mulighetene for at disse bakteriene er relatert til atferd, humør og også noen nevrologiske sykdommer.
Hovedbilde gjengitt med tillatelse fra Rosalinda Roberts, Courtney Walker og Charlene Farmer.
Alle siterte kilder ble grundig gjennomgått av teamet vårt for å sikre deres kvalitet, pålitelighet, aktualitet og validitet. Bibliografien i denne artikkelen ble betraktet som pålitelig og av akademisk eller vitenskapelig nøyaktighet.
- Barksdale KA, Perez-Costas E, Gandy JC, Melendez-Ferro M, Roberts RC*, Bijur GN* (2010) Mitochondrial viability in mouse and human postmortem brain. FASEB J, 24(9):3590-3599
- Do gut bacteria make a second home in our brains? (2018, November 9). Retrieved March 4, 2019, from https://www.sciencemag.org/news/2018/11/do-gut-bacteria-make-second-home-our-brains
Denne teksten tilbys kun til informasjonsformål og erstatter ikke konsultasjon med en profesjonell. Ved tvil, konsulter din spesialist.







